Eingabehilfen öffnen

Zum Hauptinhalt springen

Kieferorthopädie

Kieferorthopädie bei Dres. Czell –
Für schöne Zähne und ein
strahlendes Lächeln

Was ist Kieferorthopädie eigentlich? Dres. Czell

Was ist Kieferorthopädie eigentlich?

Viele denken bei Kieferorthopädie zuerst an Zahnspangen – und damit liegen sie gar nicht falsch. Tatsächlich ist das eines der bekanntesten „Werkzeuge“ in diesem Fachgebiet. Aber: Die Kieferorthopädie kann viel mehr. Sie ist ein spezialisierter Bereich der Zahnmedizin, der sich mit der Diagnose, Prävention und Behandlung von Zahn- und Kieferfehlstellungen beschäftigt. Als Fachzahnärzte für Kieferorthopädie sorgen also Dres. Czell dafür, dass Zähne nicht nur gerade aussehen, sondern auch gesund sind und funktional zueinander passen.

Übrigens: Kieferorthopädie ist nicht nur was für Kinder und Jugendliche – auch im Erwachsenenalter lässt sich noch richtig viel bewegen mit beeindruckenden Ergebnissen. Hierfür bieten wir auch die Aligner-Therapie als diskrete Behandlungsmethode an, die sich problemlos in den Alltag integrieren lässt.

Wie funktioniert Kieferorthopädie überhaupt?

Mit gezieltem, sanftem Druck bewegen wir die Zähne und den Kiefer langsam Schritt für Schritt in die richtige Position – entweder mit festsitzenden Apparaturen (wie einer festen Zahnspange) oder mit herausnehmbaren Schienen (z. B. Alignern). Wichtig ist: Jede Behandlung ist individuell. Wir schauen uns ganz genau an, was nötig ist – und planen dann gemeinsam mit Ihnen oder Ihrem Kind den besten Weg zum Wunschlächeln.

Und was bezweckt sie?

Klar: Gerade Zähne sehen schön aus. Aber noch wichtiger ist, dass sie gut funktionieren. Denn Fehlstellungen können langfristig zu funktionalen Problemen führen – z. B. beim Kauen, bei der Aussprache oder durch übermäßige Abnutzung einzelner Zähne. Sie können sogar Rücken- und Nackenschmerzen verursachen. Eine Behandlung hilft also, genau das zu vermeiden – und sorgt damit für gesunde Zähne und mehr Lebensqualität.

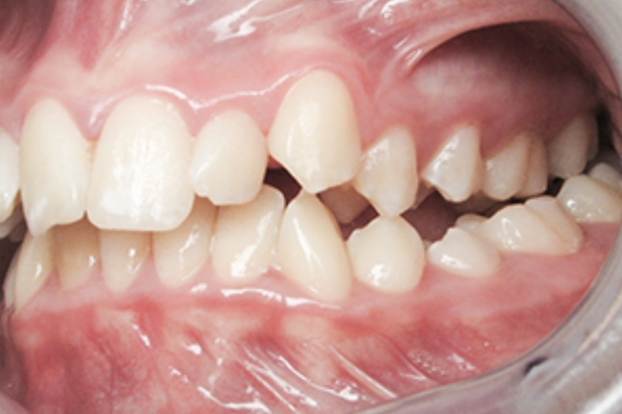
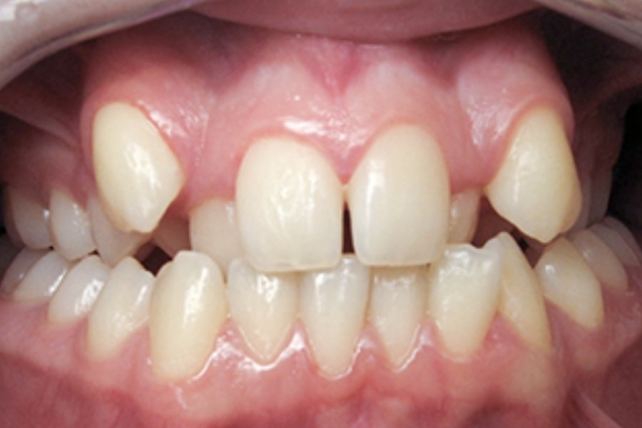
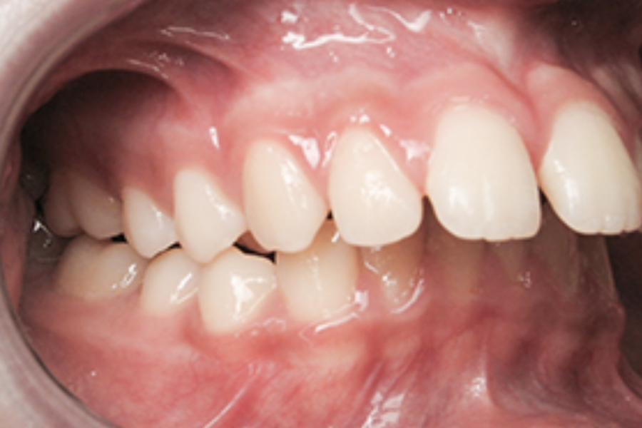
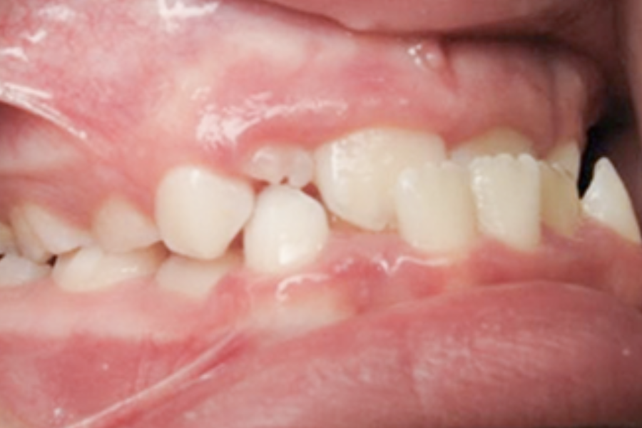
Was gibt es für Fehlstellungen?

Es gibt verschiedene Arten von Zahn- und Kieferfehlstellungen, die wir in unserer Praxis behandeln. Zu den häufigsten zählen:

Czell-Keferorthopaede

Kreuzbiss:

Wenn die oberen Zähne innen oder außen an den unteren Zähnen vorbeigreifen.

Vorbiss (Progenie):

Vorbiss (Progenie):

Die unteren Zähne stehen vor den oberen Zähnen.

Rückbiss und Offener Biss:

Rückbiss und Offener Biss:

Wenn die oberen und unteren Zähne nicht richtig aufeinandertreffen.

Zahnlücken und Engstände

Zu viele oder zu wenige Zähne im Kiefer oder Zähne, die schief oder überlappend stehen.

Fachpraxen für Kieferorthopädie Dres. Czell

Geretsried

Karl-Lederer-Platz 9
82538 Geretsried

 08171 9974940
 Diese E-Mail-Adresse ist vor Spambots geschützt! Zur Anzeige muss JavaScript eingeschaltet sein.

Sprechzeiten

 Mo - Do:      8:00 - 12:00
13:00 - 18:00
 Freitag:     nach Vereinbarung

Wolfratshausen

Bahnhofstr. 28
82515 Wolfratshausen

 08171 78800
 Diese E-Mail-Adresse ist vor Spambots geschützt! Zur Anzeige muss JavaScript eingeschaltet sein.

Sprechzeiten

 Mo - Do:      8:00 - 12:00
13:00 - 18:00
 Freitag:      8:00 - 11:00

Sprechzeiten während der Schulferien entnehmen sie bitte unserer Telefonansage.